Diagnosi digitale completa, piano di cura chiaro e soluzioni su misura

Valutazione specialistica con tecnologia avanzata

in centro a Torino

Sabione di Bella

7.000+ trattamenti specialistici completati

Valutazione 5/5 con oltre
1000 recensioni su Google e AlfaDocs

Un approccio moderno e
trasparente alla cura dentale

Uniamo competenza clinica, strumenti avanzati e attenzione al dettaglio per offrirti diagnosi precise, trattamenti su misura e la totale chiarezza di ogni fase del percorso

Le Migliori Tecnologie

Scanner 3D, stampa 3D, radiografie a bassa emissione per diagnosi precise e indolori.

Professionisti Dedicati

Un team multiprofessionale per ogni esigenza: igiene, chirurgia, ortodonzia, estetica dentale.

Trasparenza e Fiducia

Preventivi chiari, spiegazioni comprensibili e attenzione alla persona.

La prima visita

Durante la prima visita, uno dei nostri specialisti effettua un esame completo e digitale.

Valutiamo lo stato di salute orale, spieghiamo le soluzioni più adatte e definiamo insieme un piano di cura personalizzato.

Costo della prima visita 40€

comprende analisi clinica e diagnosi preliminare

Cosa succede dopo la prenotazione?

1. prenotazione

effettui la prenotazione online senza costi di segreteria.

2. ricontatto

la segreteria ti contatterà entro 24 ore per confermare l'appuntamento

3. accoglienza

Ti accogliamo in studio e ti spieghiamo ogni passaggio in modo dettagliato e trasparente

5000+ pazienti ci hanno scelto

Certificazioni e Sicurezza

Utilizziamo solo materiali certificati CE e tecnologie approvate secondo gli standard europei

[mettere carosello loghi perpetuo]

Siamo nel cuore di Torino

Orari

Dal Lunedì al Venerdì / 8:00 – 20:00 
Il Sabato / 9:00 – 18:00
Domenica / Chiuso

Domande Frequenti

Quanto dura la prima visita?

In media 20-30 minuti. Valutiamo la salute dei denti e delle gengive, utilizziamo strumenti diagnostici digitali e ti forniamo un primo quadro chiaro della situazione.

 

No. Usiamo tecnologie che riducono al minimo il fastidio. Il nostro obiettivo è farti sentire a tuo agio in ogni fase, fin dal primo appuntamento.

No, non è necessario portare nulla. Se dovessero servire approfondimenti, possiamo effettuarli direttamente in studio con strumenti di ultima generazione.

Prenota Online

Prenotando online, potrai risparmiare i costi di segreteria.

Ti accoglieremo in uno studio moderno con un team di professionisti.

[INTEGRAZIONE PRENOTAZIONE EMBEDDED ALFADOCS]

I nostri medici

Matteo Di Bella

Medico Odontoiatra

Cristian Sabione

Medico Odontoiatra

Lorenza Alfonsi

Medico Odontoiatra

Lorella Gassino

Medico Odontoiatra

Lorenzo Pavone

Medico Odontoiatra

Paolo Michienzi

Igienista Dentale

Francesca Patelli

Igienista Dentale

Alda Mascellani

Reception e Amministrazione

Denise Oanea​

Reception e Amministrazione

Ramona Cojan

Assistente alla Poltrona

Mirela Tecuta

Assistente alla Poltrona

Alessia D'Errico

Assistente alla Poltrona

Kasia Paczyna

Assistente alla Poltrona

Federica Mollo

Assistente alla Poltrona

Risultati che parlano da soli

Riabilitazione estetica e funzionale di un sorriso compromesso

La paziente presentava un canino da latte, un eccesso di gengiva visibile, faccette in composito infiltrate e denti non armonici per forma e colore.

Il trattamento ha previsto rimodellamento gengivale, correzione della curvatura del sorriso, applicazione di faccette in ceramica su entrambe le arcate e rialzo della dimensione verticale per migliorare estetica e funzione.

Il risultato è un sorriso più equilibrato, naturale e in linea con il volto, con un importante recupero di sicurezza personale.

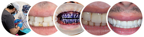
Allineatori Trasparenti

Il paziente è stato sottoposto a un trattamento di ortodonzia tramite l’ausilio di allineatori invisibili, un trattamento che è durato un anno e ha permesso il raggiungimento di questo successo.

Impianti a Carico Immediato

Ecco il caso di una giovane paziente che soffre di attacchi epilettici.

Durante una grave crisi ha subito un trauma che ha causato una frattura scomposta del mascellare superiore e le ha fatto perdere tre denti incisivi.

Si è proceduto ad effettuare impianti a carico immediato con rigenerativa ossea e gengivale e si è consegnato in giornata un provvisorio fisso e avvitato che le ha permesso di tornare a sorridere e mangiare.

© 2018-2026 Studio Sabione & Di Bella | PI 11822410012 | Tutti i diritti riservati

Privacy Policy | Cookie Policy

Informazione sanitaria ai sensi delle leggi 248/2006 e 145/2018. Direttore sanitario Cristian Sabione, iscritto all’Ordine dei Medici Chirurghi e Odontoiatri di Torino n. 3052.